BIÓPSIA DE MEDULA ÓSSEA
Biopsia de Medula Óssea: Indicação, coleta e envio
A medula óssea é o órgão que se encontra no interior dos ossos, responsável pela produção dos componentes celulares sanguíneos, a hematopoiese. Esse processo ocorre através da diferenciação das células-tronco (presentes na medula óssea) em linhagens de células hematopoiéticas que dão origem aos eritrócitos, leucócitos e plaquetas.
Em condições normais a medula óssea produz, diariamente e, de acordo com a necessidade do organismo, bilhões de células sanguíneas essenciais para funções, como: oxigenação dos tecidos, defesa do organismo, cicatrização, dentre outras. Por diversos fatores, a medula óssea pode produzir células em demasia ou em uma quantidade menor, que não atende às necessidades do organismo. Dentre essas disfunções medulares, pode-se citar anemias e
leucemias.
Exame histopatológico
A Histopatologia de medula óssea é o estudo morfológico das células presentes na medula, o exame possibilita a identificação de metástases e infecções, se aplicando também no diagnóstico e acompanhamento de desordens e doenças hematológicas, como:
• Citopenias;
• Mieloma múltiplo;
• Mielodisplasia;
• Mielofibrose;
• Anemia aplástica;
• Linfomas (diagnóstico, classificação e estadiamento);
• Neoplasias mieloproliferativas.
Diante das diferentes aplicações da histopatologia em materiais de medula óssea, a indicação da biopsia é relativamente variável, dependendo da especialidade do serviço solicitante e do critério médico. Contudo, pode-se dizer que as principais aplicações para o exame, são: investigação de citopenias e neoplasias mieloproliferativas, além do acompanhamento, diagnóstico e diferenciação de linfomas.
Por proporcionar uma análise tecidual, é possível avaliar através da histopatologia medular, não só as células do tecido hematopoiético, mas também as do tecido ósseo, permitindo também a visualização e avaliação do estroma, bem como possíveis lesões focais.
É importante salientar que o histopatológico é extremamente importante para a complementação diagnóstica do aspirado medular. O mielograma, que apesar de possibilitar a análise das células sanguíneas, nem sempre é conclusivo para fechamento diagnóstico. De fato, para uma avaliação completa da medula óssea, é ideal que haja uma integração entre os resultados do aspirado medular e da biópsia, assim como testes moleculares (citometria de fluxo, citogenética e cariótipo).
Por se tratar de um fragmento ósseo, para o processamento técnico do exame histológico, é necessária a descalcificação do material, onde a escolha coerente do reagente descalcificante é de extrema importância, pois é necessária a preservação do tecido para que não haja prejuízo na visualização das estruturas e também para que os antígenos da amostra sejam preservados, considerando a necessidade de um posterior exame imuno-histoquímico. A depender do reagente descalcificante utilizado, pode se tornar inviável a realização de exames complementares.
O processamento técnico adequado propicia uma avaliação com detalhamento celular, que requer cortes histológicos finos e bem corados. Colorações histoquímicas também são corriqueiramente utilizadas para elucidação diagnóstica.

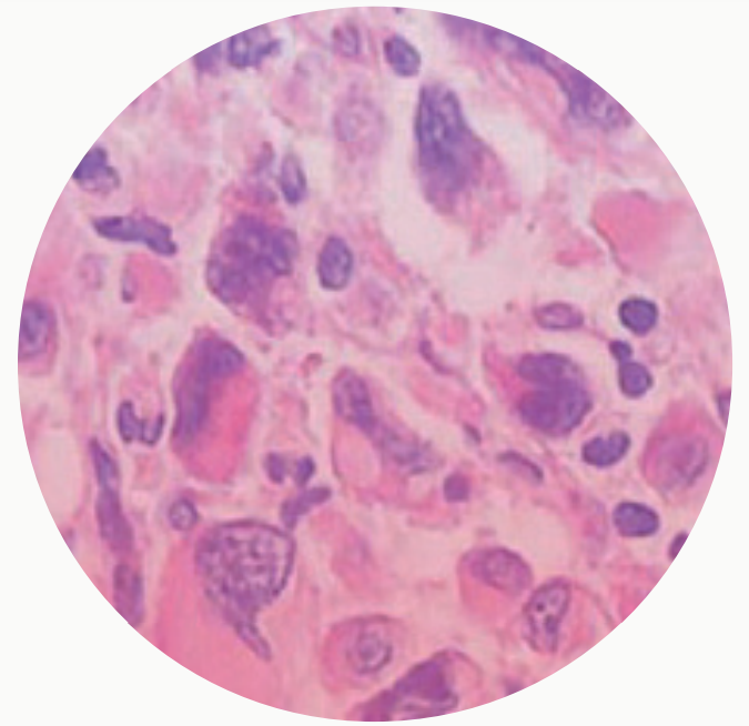
Corte histológico de medula óssea exibindo hiperplasia megacariocítica, com células atípicas agrupadas.
Coleta do material
A obtenção do material é realizada através de uma agulha de grosso calibre, a qual remove uma amostra de tecido ósseo. O procedimento pode ser realizado em consultório médico sob anestesia local, mas a depender do estado de saúde do paciente, pode ser realizado também em ambiente hospitalar ou centro cirúrgico. O material deve ser enviado em formol a 4% ou formalina a 10%, e recomenda-se a fixação imediatamente após o procedimento de coleta.
Apesar de relativamente invasivo é um método seguro que muito raramente causa complicações. A retirada do fragmento para biópsia, em geral, é concomitante à coleta do aspirado para a realização do mielograma.
A importância da correlação clínica e diagnóstica
A Organização Mundial da Saúde (OMS) determinou critérios para a análise histomorfológica da medula óssea no diagnóstico, definição e terapêutica de doenças mieloproliferativas, os quais inclui o envio de dados clínicos adequados para o patologista.
É muito importante ter em mente a importância do envio dos dados clínicos e de exames complementares quando um material de medula óssea é direcionado para o setor de anatomia patológica. Como já mencionado, para uma análise global e completa, o hematopatologista precisa ter acesso a resultados de outros exames, sendo necessário também a correlação com a clínica do paciente.
O mielograma e o hemograma são essenciais para a correlação e diagnóstico anatomopatológico, mas exames de imunofenotipagem e citogenética também podem ser muito importantes para a liberação do laudo histológico, pois permitem, respectivamente, a determinação das linhagens celulares nas neoplasias e identificação de alterações cromossômicas em doenças como leucemia mieloide crônica.
Em resumo, junto à amostra bem fixada, é primordial que sejam enviados:
• Pedido médico do histopatológico com hipótese diagnóstica;
• Exames complementares anexos (mielograma e hemograma e outros, se houver);
• Dados clínicos do paciente.
Acondicionamento e envio da amostra (BIOPM)
Material: Tecido fixado em formol (fragmento de medula óssea).
Volume Mínimo: 1 fragmento com pelo menos 1x2x2mm.
Método: Histopatologia.
Meio de coleta: Frasco com formol.
Critérios de rejeição:
• Amostra com fixação inadequada, insuficiente ou em meio inadequado;
• Informações divergentes entre pedido médico e identificação da embalagem;
• Informações divergentes entre pedido médico e/ou identificação e material encontrado na macroscopia;
• Falta de pedido médico, informações clínicas e/ou resultados de exames complementares;
• Pedido médico sem identificação do médico solicitante.

Referências
JUNQUEIRA, Luiz Carlos Uchoa. Histologia básica I L.C.Junqueira e José Carneiro.12 .ed. Rio de Janeiro: Guanabara Koogan, 2013
INSTITUTO NACIONAL DE CÂNCER. Ministério da Saúde. O que é medula óssea? Disponível em: https://www.inca.gov.br. Acesso em: set. 2021.
MARTELLOSIO JP et al. Bone marrow biopsy diagnostic yield in internal medicine. Postgrad Med, 2020 Jan, 133 (1): 89-95
ONCOGUIA. Exames para diagnóstico da Leucemia Mieloide Aguda (LMA) Disponível em: http://www.oncoguia.org.br Acesso em: set. 2021.
KNEESE ACN et al. Doenças Mieloproliferativas - Papel da biopsia de medula óssea. ABHH. Disponível em: www.amb.org.br. Acesso em: set. 2021.